
近日,由國家心血管病專家委員會血管外科專業委員會、四川大學華西醫院等主辦的第二屆“天府大血管大會”在成都舉行。受大會組委會邀請,我院心臟血管外科團隊現場直播演示了3臺復雜的主動脈手術,得到全國心血管同道的稱贊與肯定。該會議每年舉辦一次,是國內心血管領域最具權威性和代表性的學術交流平臺之一。

在院領導的支持以及麻醉科、手術室、導管室、輸血科等科室的協作下,我院心臟血管外科團隊全體動員,各項準備工作有條不紊展開,從手術病例的選擇、直播設備及網絡的安裝和調試、手術醫師以及直播人員安排,科室都做了周密準備。經過精挑細選,3例各有特色且具代表性的復雜主動脈病例入選。
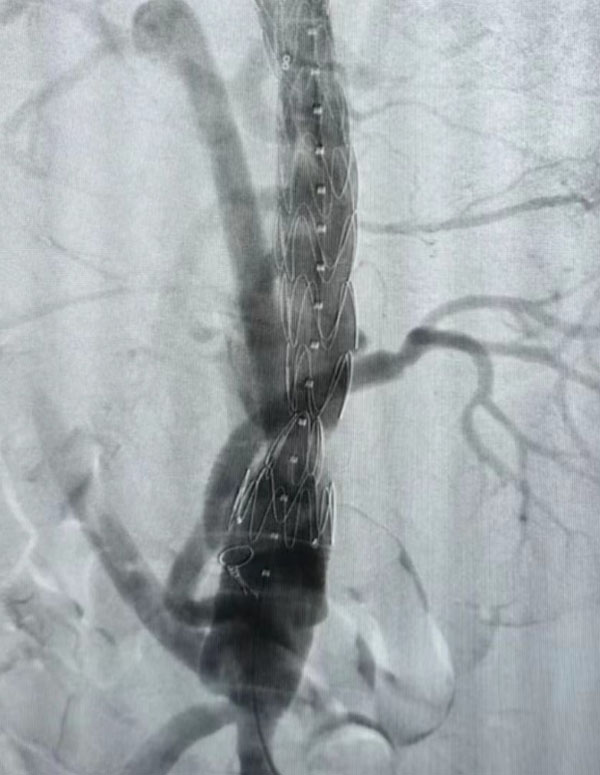
當日上午,待患者麻醉成功后,手術演示直播正式開始。在DSA復合手術室,侯五輝主治醫師進行病例匯報:患者A型夾層術后8年,遠端胸腹夾層動脈瘤形成,擬行“腹主動脈置換+內臟去分支+胸腹主動脈腔內隔絕術”。手術由我院心外科負責人趙永波主刀,龔琪副主任醫師、要凱主治醫師、李超主治醫師共同參與,術中夾層動脈瘤與周圍組織粘連嚴重,可能出現大出血危及生命。手術團隊運用高超嫻熟的技巧,密切配合、攻克難關,順利完成開放手術腹主動脈置換及腹腔臟器血管重建,隨后進行腔內修復手術。該手術充分展現了我院心臟血管外科團隊“兩棲作戰”的復合手術能力,得到國內專家的一致好評。


同期,另一臺“升主動脈置換+全主動脈弓置換+胸主動脈覆膜支架腔內隔絕術”正在開展,該病例為一名A型主動脈夾層患者。在主動脈弓及分支成功游離且心臟停跳后,心外科負責人趙永波“轉場”為患者完成了血管置換,心臟復跳成功,止血徹底。隨后,談凌凌主治醫師、侯五輝主治醫師為患者進行胸主動脈腔內修復。下午2點左右,兩臺手術成功結束。通過現場視頻直播,在手術同時,手術人員與大會現場的專家們就影像評估、手術策略、手術器械的選擇及操作技巧等多個環節進行了互動討論,學術氣氛熱烈,大會主席及與會代表給予我院高度評價。緊接著,手術團隊又為一名79歲腹主動脈瘤患者進行了腹主動脈腔內修復手術,效果良好,同樣受到與會專家的好評。

全主動脈弓置換

腹主動脈腔內隔絕
本次手術直播,充分展現了我院心臟血管外科團隊高超的技術水平和治療能力,獲得了業內同仁的重點關注,標志著科室的學術影響力正向全國輻射。手術團隊表示,將始終堅持以患者為中心,追求技術創新,通過開展更多新術式帶來新福祉,不斷提高疾病的診療水平和醫療服務質量,為醫院的高質量發展做出更大貢獻。
心外科