近日,在麻醉科、手術室、心內科、導管室、超聲科等多學科的積極配合下,我院心血管外科團隊在DSA復合手術室順利完成兩臺高難度經導管主動脈瓣膜替換術(TAVR手術),皮膚切口僅1cm左右,以最小的創傷挽救了兩名危重患者。該術式是一種運用導管導絲的微創技術,作為外科主動脈瓣膜置換術、藥物治療后的第三種治療模式,有著不開胸、創傷小、時間短、恢復快等諸多優勢,為許多高齡或危重的主動脈瓣患者帶來希望。

一名患者在接受主動脈夾層人工血管替換術后第8年出現主動脈瓣大量反流,心衰非常嚴重。該患者情況較為特殊,既往有開胸手術病史,再次開胸手術極其困難,且心臟功能差,難以耐受傳統的開胸體外循環下心臟瓣膜替換術,風險很高。另一名患者為74歲老年女性,身材肥胖,主動脈瓣膜二葉畸形伴重度狹窄。經多學科會診和綜合評估,兩名患者適合更微創的經導管主動脈瓣膜替換術。
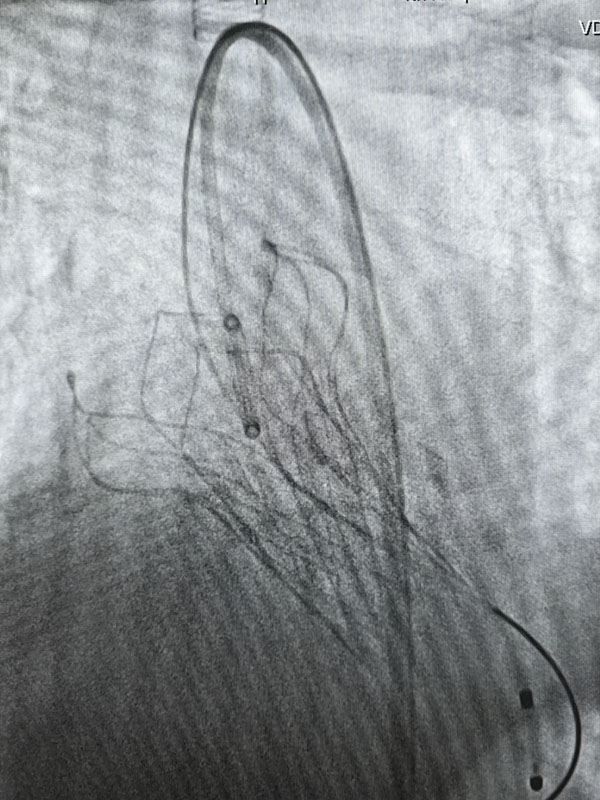
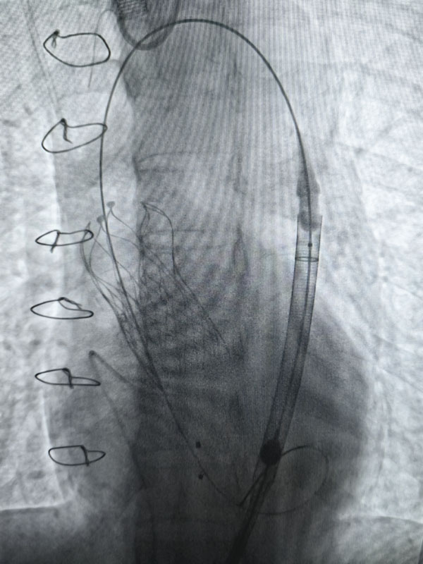
經過充分的術前準備,兩臺手術由心血管外科趙永波副主任主刀,趙偉超主治醫師、侯五輝主治醫師密切配合,選擇經皮股動脈穿刺,預埋縫合器,術中反復造影,準確定位釋放瓣膜,術后造影及超聲提示人工瓣膜開啟功能良好。為確保術中安全,體外循環小組全程保駕護航。患者生命體征平穩,術后一日均轉出監護室。



作為一項技術含量較高的醫療新術式,經導管主動脈瓣膜替換手術(TAVR手術)的開展需要很多科室的共同合作。在我院黨委的正確領導和相關部門的幫助下,心血管外科聯合心內科、麻醉科、手術室、導管室、體外循環小組、CT磁共振科、超聲科等多學科組成TAVR技術團隊,他們通力協作、攻堅克難,使多名危重患者重獲新生。心血管外科團隊將努力把TAVR手術打造成我院新的優勢特色技術,讓更多老年或高危患者得到高質量的醫療救治服務。
心外科